Bayburt'ta 80 yaşındaki hasta kapalı ameliyatla hayata tutundu
Bayburt Devlet Hastanesi'nde uygulanan başarılı kapalı akciğer ameliyatı, yaşlı hastayı yeniden sağlığına kavuşturdu.
Yayınlanma:
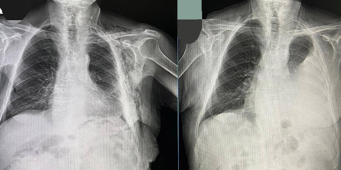
Bayburt Devlet Hastanesinde bir hastaya kapalı yöntemle akciğer ameliyatı yapıldı. 80 yaşındaki hasta, geçirdiği operasyonun ardından sağlığına kavuştu.
Bypass ameliyatı sonrası Göğüs Cerrahisi Polikliniğine kontrole giden hastanın göğüs boşluğunda sıvı biriktiği tespit edildi.
Tüp torakostomiye dirençli efüzyon nedeniyle değerlendirmeye alınan hastaya Göğüs Cerrahisi Uzmanı Op. Dr. Halil Kolcu tarafından kapalı yöntemle akciğeri serbestleme ameliyatı yapıldı.
Başarılı geçen operasyonla hastanın akciğerinin yeniden genişlemesi sağlanırken, sıvı birikiminin önüne geçildi. Hastanın ameliyat sonrası sürecinin sorunsuz ilerlediği ve altıncı günde taburcu edildiği öğrenildi.

Kaynak:
Küfür, hakaret, rencide edici cümleler veya imalar, inançlara saldırı içeren, imla kuralları ile yazılmamış, Türkçe karakter kullanılmayan Trabzon Haber ve diğer kategorilerdeki haberlerdeki yorumlar onaylanmamaktadır.
Resmi İlanlar
Bölgesel